首页 > 新闻中心 > 健康

“00后”女孩莫名头痛两周,竟是确诊脑肿瘤!

来源: 紫牛新闻

2026-01-17 17:24:00

年仅26岁的孙女士(化姓)怎么也没想到,两周前出现的莫名头痛竟是一场关乎性命的“头”等大事。近日,南京大学医学院附属泰康仙林鼓楼医院神经外科成惠林主任团队凭借精湛显微镜技术,成功为她切除一枚位于脑干(延髓)旁的“炸弹”——脊髓室管膜瘤,帮助她解除风险。

原来,孙女士家住安徽池州,两周前无明显诱因开始出现头痛症状,并伴有颈部不适,活动时颈痛加剧。当地医院颈椎MRI增强提示,延髓与颈髓交接区囊性占位,胶质瘤可能,建议转诊至上级医院。

孙女士及家人万分焦急,经多方打听慕名来到泰康仙林鼓楼医院神经外科寻求帮助。

孙女士入院后,成惠林主任对她进行了详细问诊。由于患者影像学检查提示,肿瘤位于延髓与颈髓交接区,位置深、毗邻生命中枢,手术难度极大,风险非常高。

“这个位置的肿瘤肯定要切除,必然是精细活,稍有不慎就可能导致患者瘫痪甚至死亡。这个时候,显微镜就给复杂肿瘤切除提供了更好的技术辅助。”成惠林主任介绍道。

事不宜迟,成惠林主任带领神经外科团队迅速展开评估,并组织多学科会诊,完善术前检查。经过充分的术前准备,决定为孙女士实施显微镜下肿瘤切除术。

 神经外科成惠林主任在显微镜手术中

术中,情况比预想得更为复杂。肿瘤位于延髓与颈髓交接区,周围布满了重要神经和血管。成惠林主任团队凭借丰富的经验和精湛的显微外科技术,小心翼翼地分离肿瘤与周围组织,最终成功完整切除肿瘤。术中出血少,患者生命体征平稳。

术后病理结果显示,孙女士患的是脊髓室管膜瘤。成惠林主任强调:“这是一种脊髓内肿瘤,手术过程中需切开脊髓,及时完整地切除肿瘤,是治愈的关键,好在我们成功了,也尽可能地保护了孙女士的神经功能。”

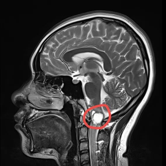
 位于延髓与颈髓交接区的巨大肿瘤

 术后检查发现肿瘤已被完整切除

在神经外科医护团队的精心照料下,孙女士恢复得很快,神志清楚、精神良好,四肢活动正常,头痛、颈痛症状逐渐消失。成惠林主任也率团队多次查房,耐心指导她进行康复训练。“谢谢成主任和各位医生、护士,是你们给了我第二次生命!”即将出院的孙女士,脸上洋溢着久违的笑容。

成惠林主任介绍,室管膜瘤是一种中枢神经系统恶性肿瘤,好发于30-50岁年龄段,男性略多于女性。该肿瘤首发症状以局部疼痛多见,可持续数月至数年。

随着肿瘤逐渐增大,患者可能出现脊髓神经损害症状,包括肢体麻木、无力、感觉减退、步态不稳以及大小便功能障碍等。室管膜瘤的生长会对脊髓造成不可逆的损伤,因此早期诊断和治疗对于改善患者预后具有重要意义。

通讯员 葛珊珊 刘子淳

扬子晚报/紫牛新闻记者 吕彦霖