首页 > 新闻中心 > 健康

69岁阿姨腹部摘出25厘米“西瓜”

来源: 紫牛新闻

2025-10-22 18:48:00

腹胀20年,时好时坏,平时稍微休息下能缓解,直到影响正常生活才到医院就诊。近日,扬州市江都人民医院成功为69岁的李阿姨进行了手术,术中摘出一颗“小西瓜”大小的错构瘤。日前,李阿姨已经康复出院。

李阿姨今年69岁,20多年来腹胀一直“如影随形”。由于腹胀休息后稍有好转,且时有时无,李阿姨并没有放在心上。近期,腹痛腹胀感加重,影响到正常生活,于是她便来到家门口的江都人民医院就诊。

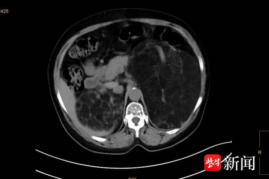
患者CT显示错构瘤巨大。通讯员供图

腹部CT检查发现,李阿姨的肾脏内有约25cm*18cm*18cm大小的错构瘤,它就是导致患者腹痛腹胀的“罪魁祸首”。“这种肿瘤多为良性,但瘤体巨大,已经严重压迫到腹腔内的其他脏器,如果瘤体一旦破裂,患者随时可能有生命危险。”该院泌尿外科主任医师王荣博士介绍。

患者入住医院后,泌尿外科王荣、詹德明及团队成员共同为患者评估病情,制定手术方案。“患者左肾几乎完全萎缩失去功能,肿瘤体巨大且与周围的肠道、肠系膜以及重要血管和神经紧密粘连,不仅让手术视野暴露困难,更意味着在分离过程中极易引发灾难性的大出血或造成邻近脏器、神经的不可逆损伤,对手术团队考验巨大。”王荣介绍。

经过周密的术前讨论和准备,在麻醉科主任刘美玉博士团队的协同下,王荣博士和詹德明主任联袂为患者施行“左肾根治性切除术”。术中情况正如术前所料,左侧肾脏已被巨大肿瘤完全包裹变形,与肠系膜粘连紧密,肾脏包膜表面存在活动性出血。手术团队沉着冷静、配合默契,沿肾周筋膜精细游离,抽丝剥茧般清晰分离被肿瘤紧密粘连的肠系膜,完美保护了全部毗邻组织,约2小时,左侧巨瘤连同病肾被完整移出体外。

完整切除的肿瘤和病肾。通讯员供图

术后,在护理团队的精心照看下,患者切口愈合良好,无感染,困扰她20多年的腹胀感彻底消失。复查各项检验指标均恢复正常。术后不久,患者便康复出院。“肾脏错构瘤是一种常见的良性肿瘤,生长缓慢,直径小于4厘米以内的肾错构瘤很少出现症状。体积越大,瘤内血管越丰富,受到外力撞击或剧烈运动时,存在破裂出血的风险。”王荣介绍,“肾脏错构瘤可以通过超声发现,当有腰酸、腹痛、肿胀等症状时,需要引起警惕,及时就医。”

通讯员 马兆敏 于备备 扬子晚报/紫牛新闻记者 成沫

校对   朱亚萍