首页 > 新闻中心 > 健康

17岁少年骑电动车摔倒,造成严重血栓险截肢……

来源: 紫牛新闻

2026-03-05 21:06:00

不久前,17岁少年小磊(化名)骑电动车回家,快到家时不小心连人带车重重摔倒在地。小磊当时就感到左膝关节有撕裂般的剧痛,闻讯赶来的父母立刻将他送往当地医院,X光检查显示“无明显骨折”,被诊断为“韧带损伤”,当地医院为他进行了消肿、止痛等保守治疗。谁也没想到,严重的血管危机正悄然来袭……

“两脚温差大!”医生敏锐发现“元凶”血栓

起初,小磊受伤的左膝盖肿胀有所缓解,可是伤后第5天,小磊的左脚突然没了力气,脚背发麻,几乎无法活动。当地医生判断为腓总神经损伤,建议继续保守治疗。但小磊的症状并没有好转,反而急剧恶化,脚趾颜色明显发生改变,触觉逐渐消失。小磊病情的进展让当地医生感到奇怪,于是建议小磊父母带他到南京市第一医院进行治疗。

南京市第一医院骨科姚懿伦医生接诊后将小磊收住入院,骨科副主任、医学博士杨蓊勃查房时,仔细对比小磊的双脚,两脚的温差让他瞬间警觉:小磊左脚温度明显低于右脚!——这绝不可能是单纯的神经损伤,大概率存在血管损伤,需要立刻做急诊血管造影!骨科立即联系介入血管科主任何旭和心胸血管外科副主任张雷杨进行多学科会诊。

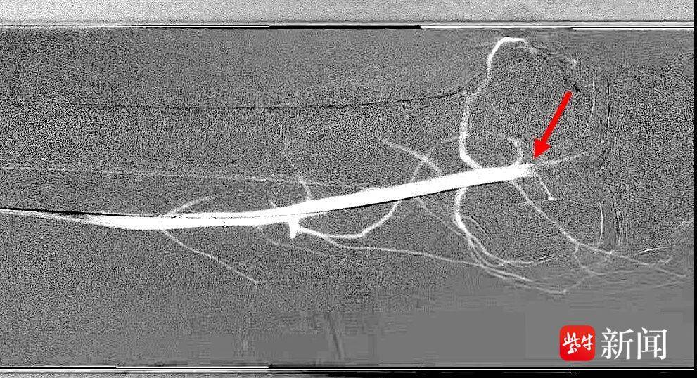
介入血管科何旭主任团队30分钟内完成造影准备,屏幕上的影像让所有人倒吸一口凉气:腘动脉断裂伴血栓形成,仅存少量侧支循环,属于Ruthford缺血分级4级——这意味着小磊的腿正在“缺血坏死”,面临截肢的风险!

 血管造影

会议室里,多学科会诊气氛凝重。小磊目前面临着两难困境:他的肢体缺血已经持续10天,受累组织早已处于濒死状态。如果现在贸然手术开通血管,大量坏死肌肉会瞬间释放出肌红蛋白,这些物质会直接堵塞肾小管,进而引发急性肾衰竭。同时缺血肌肉中的炎性坏死物质进入血液循环后还有可能攻击肝脏、心脏等重要器官,诱发全身多器官功能衰竭,这对小磊来说,无疑是致命的。

姚懿伦医生紧锁眉头:“如果不重建血管,最终的结果也许只有截肢,这个年轻人未来的路怎么走?我们能不能再搏一把?”

介入血管科何旭主任指着造影图像说:“目前还有少量侧支循环,说明组织还没完全坏死。如果我们能在杂交手术室一站式完成血管重建,做好并发症预防,或许还有一线生机。”

杂交手术室团队紧密合作,成功保肢!

开通血管进行保肢,发生致命性并发症风险极高;截肢,虽然相对安全,但对17岁青少年人生影响巨大。两难的选择,让专家们陷入了沉默。“他才17岁,人生刚起步,截肢对他人生影响太大了!是否要冒险为患者搏出保肢机会?”最终,张雷杨主任打破沉默:“家长带着孩子从外地转院而来,孩子父母这么信任我们,我们没有理由不迎难而上。我建议,做好两手准备,先尝试微创取栓,如果失败,马上转开放手术做血管旁路移植!”

骨科立即通知杂交手术室做好准备,决定尽快为小磊进行手术,一场与时间赛跑的“生命接力”正式打响。心胸血管外科、骨科、介入血管科团队无缝衔接:张雷杨主任主刀,发现血栓已机化无法取出,果断改行“大隐静脉旁路移植术”,精准桥接股动脉与胫后动脉;血管吻合的瞬间,实时造影监测血流重建效果,同时放置下腔静脉滤器,严防致命性肺栓塞发生。

手术成功!但后续考验依旧在继续。术后,小磊转入骨科病房,进行严密监测。姚懿伦每天坚守在病房:监测手术肢体足背动脉搏动、皮温、颜色,不放过任何一丝变化;严格记录24小时出入量,每日监测肾功能指标,通过补液、碱化尿液,死死守住“急性肾衰竭”的防线;指导小磊做功能锻炼,预防深静脉血栓和肌肉萎缩。当时恰逢春节假期,当万家灯火、阖家团圆时,小磊的病房里,医护团队的“守护战”从未停歇。

大年初一早上,姚懿伦和护士端来热腾腾的饺子,为小磊和家人送上新年祝福。看着医生护士们放弃团圆、日夜守护,小磊的父母热泪盈眶:“这个春节虽然在医院,但我们觉得比在家过年还要温暖。”

术后第1天,足趾虽仍瘀紫低温,但血运已开始缓慢恢复;术后第2天,足趾颜色转红,温度回升,毛细血管反应逐渐改善;术后第7天,足部血液循环基本稳定,肾功能指标全程正常,急性肾衰竭的风险成功规避;术后第14天,切口愈合良好,足部血液循环完全恢复,小磊终于可以正常活动脚趾!

 出院当天

2月23日(大年初七),小磊迎来了出院的日子,他难掩激动:“感谢所有医护人员们,是您们保住了我的腿,让原本要截肢的我,重获站立的机会。春节期间重获健康,这是我收到最好的新年礼物!”

通讯员 曹慧慧 张洁

扬子晚报/紫牛新闻记者 吕彦霖


校对 陶善工